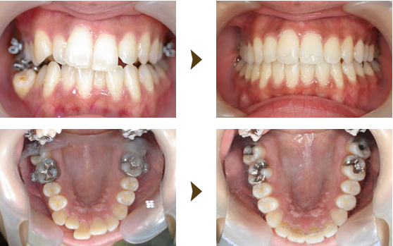
歯科 アライナー矯正歯科治療 CLEAR ALIGNER TECHNIQUE裁断 シエン社 | アライナー矯正歯科治療
(2993件)
Pontaパス特典
サンキュー配送
6444円(税込)
65ポイント(1%)
Pontaパス会員ならさらに+1%ポイント還元!
送料
(
)
2982
配送情報
お届け予定日:2026.04.18 14:2までにお届け
※一部地域・離島につきましては、表示のお届け予定日期間内にお届けできない場合があります。
ロットナンバー
7444375066
お買い物の前にチェック!
Pontaパス会員なら
ポイント+1%
ポイント+1%
商品説明


内容歯科 アライナー矯正歯科治療 CLEAR ALIGNER TECHNIQUE裁断全て裁断済みとなります。表紙は裁断していません・素人裁断のため、多少のズレはご容赦ください。・裁断済みが理解できない人は購入ご遠慮ください。・欠損ページはありませんが確定ではありません。また書き込みがある可能性もあります。ページの入れ替わり、表紙の裁断に複数の形がある場合、破損がある場合が有りますが、ご理解下さい。・裁断の仕方が違う本がある可能性が有ります。返品、キャンセルは不可です。裁断済みのため、【全体的に状態が悪い】としています。
| カテゴリー: | 本・雑誌・漫画>>>本>>>健康・医学 |
|---|---|
| 商品の状態: | 全体的に状態が悪い","商品の全体に目立つ傷や汚れ、ダメージがある |
| 配送料の負担: | 送料込み(出品者負担) |
| 配送の方法: | 佐川急便/日本郵便 |
| 発送元の地域: | 未定 |
| 発送までの日数: | 2~3日で発送 |
レビュー
商品の評価:




4.0点(2993件)
- たたみでえいと
- 姪のお誕生日プレゼントに購入しました。凄く喜ばれました。良い買い物でした。また機会があったら別のシリーズを購入したいと思います。
- noon7
- 2歳半の息子が新幹線大好きなので、去年のクリスマスプレゼントに購入しました。当日目が覚めると大喜びで、毎日ずっと見てます♪
- Sai-Sai
- 娘の大学の授業ように頼まれて購入しました。感想はまだ聞いていません。
すべて見る
お店の情報
7,367
連絡・応対
4.3
配送スピード
4.3
梱包
4.3










